歯ぐきの腫れや出血、口臭が気になっていませんか。
歯周病は、日本人が歯を失う一番の原因と言われる病気です。ところが、痛みが少ないまま進行することも多く、「気づいたら歯がグラグラしていた」という方も少なくありません。田沼歯科医院では、一人ひとりのお口と生活に合わせた歯周病治療を行っています。
当院が特に力を入れているのが、歯周内科治療です。位相差顕微鏡やPCR検査で歯周病菌の状態を確認し、その結果に応じて内服薬や専用の歯磨き粉を用いて、お口の中の細菌バランスを整えます。
・歯石取りだけでは改善しにくいケース
・短期間で炎症を落ち着かせたいケース
などに有効で、歯ぐきの腫れ・出血・口臭の改善が期待できます。
歯科衛生士によるクリーニングと組み合わせることで、よりしっかりとした歯周病治療をめざします。

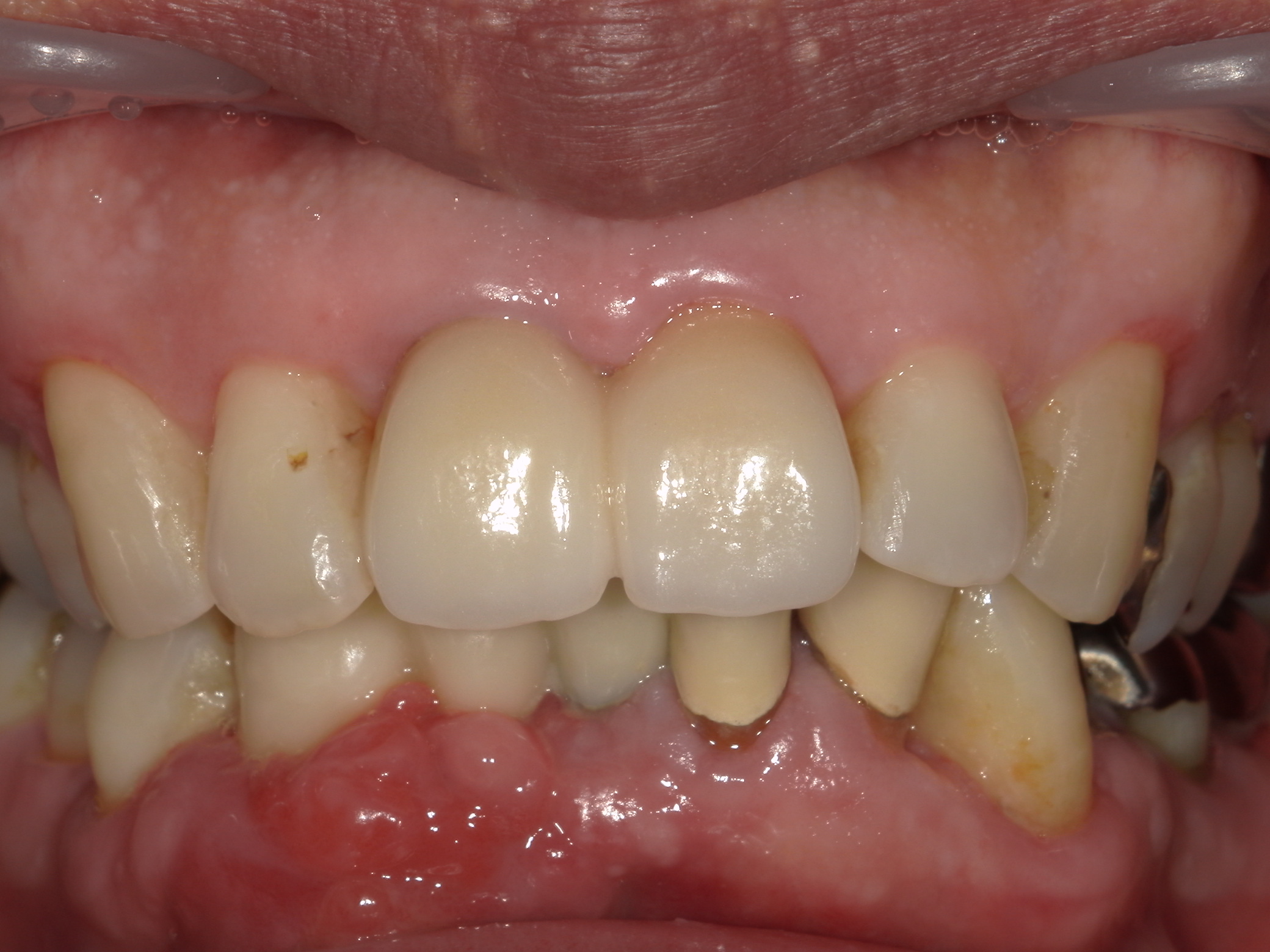
before

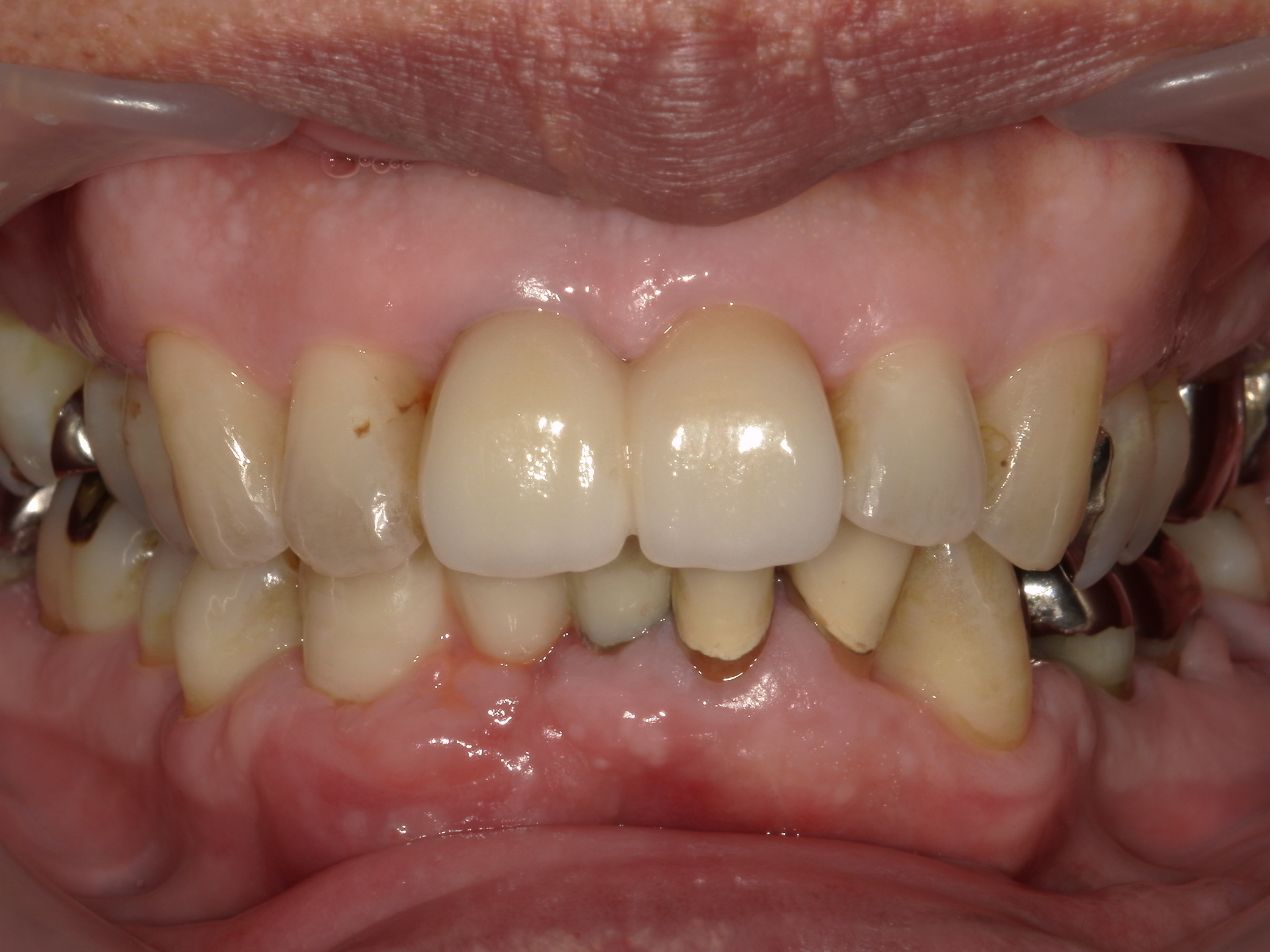
after

見た目だけでは、歯周病の本当の進行度や原因は分かりにくいものです。田沼歯科医院では、レントゲン・歯周ポケット検査・位相差顕微鏡検査・歯周病菌PCR検査を組み合わせて、お口の状態を詳しく調べています。
まずは、歯ぐきの周りの「歯周ポケット」の深さを専用の器具で測り、炎症や骨の吸収の程度を確認します。あわせてレントゲン写真を撮影し、歯を支える骨がどのくらい残っているか、隠れた歯石がないかなどをチェックします。これにより、見た目だけでは分からない「進行度」を正確に把握し、一人ひとりに合った治療計画を立てていきます。

歯ぐきの溝からプラークを少量採取し、位相差顕微鏡で観察します。
「どのくらい細菌が多いのか」「治療やケアでどのように変化するのか」を視覚的に実感できるため、日々のセルフケアのモチベーションにもつながります。
■ 2,750円(税込)

当院では、歯周病の進行に強く関わるPG菌(ポルフィロモナス・ジンジバリス)の有無を短時間で確認できるPCR検査も行っています。PCR検査により、強い毒性を持つ菌がいるか、薬を使った歯周内科治療が有効かどうか、といったことを判断しやすくなります。検査結果をもとに、クリーニングだけでなく、薬による除菌も組み合わせたオーダーメイドの治療をご提案します。
■ 13,200円~22,000円(税込)
歯ぐきの炎症が強い部位や、深い歯周ポケットには、レーザー治療や光殺菌治療を併用することもあります。
レーザー:炎症部分に照射し、歯周ポケット内の細菌を減らしながら、組織の治りを助けます。
光殺菌治療:薬剤と光を組み合わせ、細菌だけをピンポイントに減らしていく方法です。
メスで大きく切らずにすむ場合も多く、痛みや腫れの負担を抑えながら治療を進められるのがメリットです。

次のような症状に心当たりはありませんか?
これらは、歯周病のサインかもしれません。気になる症状がある方は、早めに当院までご相談ください。
歯周病は、歯を支えている「歯ぐき」や「骨」に炎症が起き、徐々に土台が壊れていく病気です。お口の中にいる歯周病菌が、プラーク(歯垢)や歯石の中で増えることで歯ぐきに炎症が起こり、そのまま進行すると、歯を支える骨が溶けてしまいます。
痛みが少ないまま静かに進むことも多く、気づいたときには歯を残すのが難しい状態まで進行していることもあるため、早めの検査と治療が大切です。

歯周病の大きな原因は、歯周病菌を含むプラーク(歯垢)です。
みがき残しや歯並びの影響でプラークが残ると、やがて硬くなって歯石となり、歯ブラシでは取り除けなくなってしまいます。
さらに、次のような要因も歯周病を悪化させる原因になります。
毎日の歯みがきで、歯と歯ぐきの境目までしっかり磨けていないと、歯周病菌のすみかとなるプラークが溜まりやすくなります。
タバコの煙に含まれる成分は、歯ぐきの血流を悪くし、抵抗力を下げてしまいます。また、ストレスや睡眠不足、不規則な食事も免疫力を落とし、歯周病が進行しやすい環境をつくります。
糖尿病などの持病があると、体の治る力が弱くなり、歯周病が治りにくくなります。また、体質的に歯周病になりやすい方もおり、「毎日みがいているのに悪くなる」という場合は、早めに検査をしましょう。
歯周病は、進行の程度によって治療方法や通院回数が変わってきます。ここでは、おおまかな目安として「軽度」「中等度」「重度」に分けてご説明します。
まだ歯を支える骨はほとんど溶けておらず、歯ぐきの炎症が中心の状態です。

多くの場合、数回の通院と毎日のセルフケアの見直しで、健康な状態に近づけることができます。
歯を支える骨が少しずつ溶け始め、歯周ポケットも深くなっている状態です。

定期的なクリーニングと歯周内科治療を組み合わせることで、炎症を抑え、これ以上悪くならない状態をめざします。
歯を支える骨が大きく失われ、放置すると歯を失ってしまう可能性が高い段階です。

重度のケースでも、すべての歯をあきらめる必要はありません。
状態をしっかりと把握したうえで、残せる歯を最大限守る治療を検討していきます。
「抜歯するしかない」と言われた歯でも、状態によっては残せることがあります。田沼歯科医院では、リグロスを用いた再生療法や歯周外科治療を行い、歯を支える組織の回復をめざしています。
リグロスは、失われた歯周組織(歯ぐきや骨)が再生するのを助ける薬剤です。
歯周外科手術の際に、清潔にした歯の根の周りにリグロスを塗布することで、歯を支える骨や組織の再生を促します。
すべてのケースに適応できるわけではありませんが、「骨の欠損の形が適している場合」「歯の根の形や残っている骨の量が条件を満たす場合」などには、歯を残すための有効な選択肢となります。
歯ぐきの中に深く入り込んだ歯石や感染した組織は、通常のクリーニングだけでは取り切れないことがあります。そのような場合には、歯ぐきを小さく開いて目で確認しながら、歯石や炎症部分をしっかり取り除く歯周外科治療を行うことがあります。
「歯周ポケットを浅くして、汚れがたまりにくい状態に整える」「リグロスなどの再生療法と組み合わせる」ことで、歯を長く使える状態に近づけていくことをめざします。
重度歯周病の治療では、「どの歯を残し、どの歯は無理をしないか」という判断も大切です。お口全体のバランスを考えながら、患者さまと一緒に治療方針を相談していきます。
歯周病はお口の中だけの問題ではなく、全身の病気とも深く関わっています。
糖尿病になると、体の抵抗力が低下し、歯周病が進行しやすくなります。
逆に、重い歯周病があると炎症物質が血管を通じて全身に回り、血糖コントロールを悪化させることも分かってきています。そのため、糖尿病治療と歯周病治療を並行して行うことで、互いの状態が良くなっていくことが期待されます。

歯周病菌や炎症に関わる物質が血管の中に入り込むことで、動脈硬化や心筋梗塞、脳梗塞などのリスクが高まる可能性が指摘されています。
心臓に持病をお持ちの方は、感染症や炎症を抑える意味でも、お口のケアがとても大切です。

妊娠中はホルモンバランスの変化で歯ぐきが腫れやすくなり、「妊娠性歯肉炎」が起こりやすくなります。重い歯周病があると、早産や低体重児出産のリスクが高まるとする報告もあります。妊娠を考えている方や妊娠中の方は、無理のない範囲でお口の状態を整えておくことをおすすめします。

歯周病治療で炎症が落ち着いても、その後のケアが不十分だと、再び悪化してしまうことがあります。田沼歯科医院では、歯科衛生士による継続的なメンテナンスと生活指導を通して、治療後も良い状態を保てるようサポートしています。
また、お一人お一人のお口の状態に合わせたブラッシング指導を行い、患者さまのお口の健康を見守ります。歯周病にならないためにも、そして治療後の良い状態を守るためにも、田沼歯科医院でブラッシング指導や定期検診で口腔内の健康維持をしていきましょう。
