本来の白さを取り戻すまでしかできない
無資格者またはセルフで行う
薬剤に制限があるため表面の汚れ除去のみ
もとの歯の色以上に白くできる
有資格者による安全で効果的な施術
高濃度薬剤で歯の内部まで白くする
毎日のケアをしていても、歯の色やくすみが気になることはありませんか?
当院では、一人ひとりのお悩みに合わせたホワイトニングプランをご提案しています。
年齢とともに黄ばんできた
若々しい白さに近づけたい
コーヒーや赤ワインでの着色
喫煙のヤニ汚れを明るくしたい
前歯だけ色が違う
自然なトーンで整えたい
すぐに戻ってしまう
白さをキープしたい
短期間で白くしたい
写真映えする笑顔に
縞模様やグレーっぽい変色
段階的にトーンアップしたい
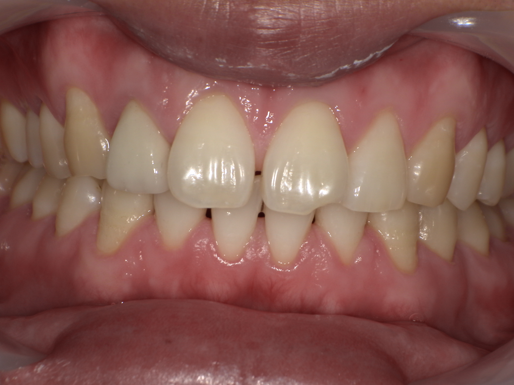
テトラサイクリン歯とは、成長期にテトラサイクリン系抗菌薬を摂ったことで、歯の形成中に薬剤由来の色素がエナメル質や象牙質に取り込まれ、灰色・褐色・縞模様などの内因性変色が生じた状態をいいます。変色は基本的に持続的ですが、ホワイトニングやラミネートベニア、被せ物などで目立ちにくくできる場合があります。見た目のお悩みがある方は、状態に合わせた方法をご提案しますので当院へご相談ください。
ムラなく美しい、自然な輝きへ
当院はホワイトエッセンス加盟院です
ホワイトエッセンスでは、一生涯にわたり健康で美しい口元を保つことを目標に、個室の落ち着いた空間で上質なおもてなしをご提供しています。
歯の黄ばみが気になる方にはホワイトニング、汚れや着色が気になる方にはクリーニング、さらに口元全体の健康と美しさを維持したい方には、オーラルリフレクソロジーやホットリップエステ、歯茎エステなどもご用意しています。美しい口元を保ちたい方や、歯科治療後の健康を大切にしたい方に、私たちは全力でサポートします。

当院は歯科医院でしか実現できない、ムラのない均一な白さと、自然なツヤ・透明感のある理想的な歯の仕上がりを追求しています。使用する薬剤は国内で承認を受けたものを採用しており、新しい成分に関して特許も取得しています。さらに、ホワイトエッセンスは国内でのホワイトニングシェアが83%を誇るブランドです。施術は完全個室で行い、リラックスして過ごせる環境を整えております。お気軽にご来院ください。


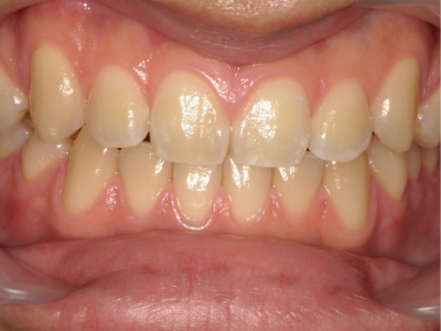
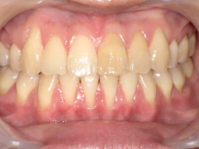
※画像はイメージです
当院では、医療機関のみで使用できる高濃度の薬剤を用いて、歯の黄ばみや着色をしっかりと除去。短期間で透明感のある白さへ導きます。サロンやセルフホワイトニングで思うような効果が得られなかった方にも、多く満足いただいています。
本来の白さを取り戻すまでしかできない
無資格者またはセルフで行う
薬剤に制限があるため表面の汚れ除去のみ
もとの歯の色以上に白くできる
有資格者による安全で効果的な施術
高濃度薬剤で歯の内部まで白くする
当院には、国家資格である歯科衛生士の資格を保有した熟練スタッフが7名在籍しています。専門的な知識と技術に基づいた安全な施術が可能です。また、熟練の衛生士が揃っているため、丁寧で正確なホワイトニングや口腔ケアを受けることができます。
当院では、カウンセラー・セラピストが丁寧にサポートいたします。 ホワイトニングに関するお悩みやご希望を気軽に相談でき、安心感をご提供します。
初めての方にも安心してホワイトニングを受けていただけるよう、当院では事前の無料相談とシミュレーションを行っています。 ホワイトニングの仕組みや施術方法の違い、費用・期間などを丁寧にご説明した上で、理想の白さを一緒にイメージしていきます。
Office whitening
歯科医院で専門スタッフが行うホワイトニング。高濃度の薬剤と特殊な光を用いて短時間で効果を実感できるのが特徴です。1回の施術でも白さを感じやすく、結婚式やイベント前など即効性を求める方におすすめです。ただし、色戻りが早い傾向があり、ホームケアと併用すると効果が長持ちします。
内容:ホワイトニング材とホワイトニング専用照射器を併用して歯を白くします
費用(自費): 19,900円〜118,800円(税込)
期間・回数 :(単品の場合)1日・1回、(コースの場合)1週間〜6か月・2〜3回
副作用・リスク:個人差がありますが、施術中や施術後に歯がしみる場合があります


Home whitening
自宅でマウスピースと専用ジェルを使用して行うホワイトニングです。低濃度の薬剤を使うため時間はかかりますが、自然で透明感のある白さを長く保てます。自分のペースで続けられるのも魅力です。
内容:ホワイトニング材と専用のマウスピースを使用して歯を白くします
費用(自費):19,900円(税込) 追加ジェル1,980円(税込)/1本〜
期間、回数:1週間・期間中1回/日
副作用・リスク:個人差がありますが、薬剤使用後に歯がしみる場合があります
|
オフィスホワイトニング プロ 照射:10分×1回 施術範囲:前歯12本 シミ止め・仕上げ磨き:なし |
19,900円 |
|
オフィスホワイトニング プロ プラス 照射:10分×1回 施術範囲:光があたる全ての歯 シミ止め・仕上げ磨き:あり |
25,400円 |
|
オフィスホワイトニング プロ 2回チケット 照射:(10分×1回)×2セット 施術範囲:前歯12本 シミ止め・仕上げ磨き:なし |
35,800円 |
|
ホームホワイトニング スターターキット ・高密着マウスピース作製(上下セット) ・ホームホワイトニングジェル2本(2.7ml) ※17%または10%から選択 |
19,900円 |
|
ホワイトエッセンスコース ・オフィスホワイトニングプロプラス×3回 ・ホームホワイトニング2か月分(ジェル16本+マウスピース) ・オーラルスパクリーニング×2回 ・ホームケアグッズ |
118,800円 |
|
ホワイトエッセンスコース エクスプレス 1日目:10分照射×3回+オーラルスパクリーニング 2日目:10分照射×3回+オーラルスパクリーニング |
118,800円 |
|
ホワイトエッセンスコース ライト ・オフィスホワイトニングプロプラス×2回 ・ホームホワイトニング1か月分(ジェル8本+マウスピース) ・オーラルスパクリーニング×1回 |
79,000円 |
※表示金額は全て税込です。
現金、クレジットカード、電子マネー
デンタルローンでの決済可能
お支払方法は、現金・カード・デンタルローン・電子マネー・交通系などがご利用いただけます。
※保険診療の場合は現金のみとなります。
ご不明点等ございましたら、お気軽にお問い合わせください。

お口全体をチェックし、目標の白さ・リスク・費用を説明します。開始前に現在の歯の色をシェードガイドで記録します。

着色・歯石をクリーニングで除去します。ホーム希望の方はトレー作製のための型採り(または口腔内スキャン)を行います。

専用トレーと薬剤一式をお渡しし、装着時間・使用量・注意点などをレクチャーします。

指示どおりに装着していただきます。飲食・喫煙・色の濃い食品のタイミング、ブラッシング方法まで含めてセルフケアを継続します。

歯ぐきを保護→薬剤塗布→光照射(10分間)→洗浄を行います。

およそ1か月後に色調を再測定します。必要に応じて追加施術/薬剤濃度や装着時間の調整、定期的なメンテナンス計画をご提案します。
