症例紹介|久喜市の歯医者「田沼歯科医院」

上下前歯のガタつきを改善した叢生
「上下前歯のガタつきを治したい」と来院された20歳男性の叢生症例です。上顎はHyrax、下顎はLAで歯列を拡大後、フルブラケット装置によるワイヤー矯正を行いました。

上下顎共劣成長による叢生
「右上の犬歯がはえてこない」とのご相談で来院された11才5ヶ月女性の、上下顎劣成長による叢生症例です。上顎はハイラックスを2回使用し、下顎はLAで歯列を拡大後、フルブラケット装置によるワイヤー矯正を行いました。MFTも併用しています。

骨格性反対咬合(受け口)
「受け口を治してほしい」とのご相談で来院された4歳女性の、乳歯列骨格性反対咬合症例です。乳歯列期より上顎ハイラックス、下顎リンガルアーチ、フェイシャルマスクを使用し治療を開始。その後、永久歯列期にはFanタイプ拡大装置やワイヤー矯正を行い、成長に合わせて継続的に治療しました。

骨格性開咬+反対咬合(受け口)
「前歯で食物が咬めない」「顎が少し長い」と来院された16才11ヶ月女性の、骨格性開咬+反対咬合症例です。上顎はHyrax、下顎はLAで歯列を拡大後、フルブラケット装置によるワイヤー矯正を行いました。ClassⅢゴムやMFTも併用し、咬合機能の改善を図りました。

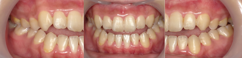
顎と歯の不調和による成人の叢生
27才男性の、顎と歯の不調和による叢生症例です。「犬歯が飛び出していて口が閉じにくい」と来院されました。上顎はHyrax、下顎はLAで歯列を拡大した後、フルブラケット装置によるワイヤー矯正を行いました。MFTも併用し、咬合機能の改善を図りました。

混合歯列期後期からの上顎劣成長による叢生
11才7カ月男性の、混合歯列期後期における上顎劣成長による叢生症例です。「前歯がガタガタしてきた」と来院されました。上顎はHyrax、下顎はLAで歯列を拡大した後、フルブラケット装置によるワイヤー矯正治療を行いました。MFTも併用し、咬合および歯列の改善を図りました。
症例1
-術後 頬側-

-術後 下顎-

※ 効果には個人差があります
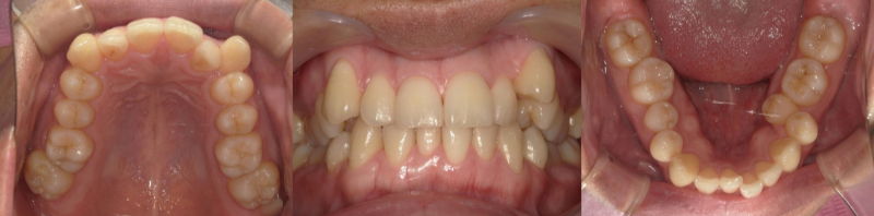
症例2
※ 写真中央のスライダを左右にドラッグして画像を比較できます
-上顎-
-下顎-
※ 効果には個人差があります