混合歯列期後期からの上顎劣成長による叢生症例|久喜市の歯医者「田沼歯科医院」
ホーム
スタッフ紹介
医院紹介
診療案内
虫歯治療
予防歯科
歯周病
小児歯科
矯正歯科
小児矯正
ホワイトニング
入れ歯
インプラント
審美歯科
アクセス
料金表
症例紹介
採用情報
ホーム
スタッフ紹介
医院紹介
診療案内
虫歯治療
予防歯科
歯周病
小児歯科
矯正歯科
小児矯正
ホワイトニング
入れ歯
インプラント
審美歯科
アクセス
料金表
症例紹介
採用情報
ホーム
スタッフ紹介
医院紹介
診療案内
虫歯治療
予防歯科
歯周病
小児歯科
矯正歯科
小児矯正
ホワイトニング
入れ歯
インプラント
審美歯科
アクセス
料金表
症例紹介
採用情報
ホーム
スタッフ紹介
医院紹介
診療案内
虫歯治療
予防歯科
歯周病
小児歯科
矯正歯科
小児矯正
ホワイトニング
入れ歯
インプラント
審美歯科
アクセス
料金表
症例紹介
採用情報
混合歯列期後期からの上顎劣成長による叢生症例
ホーム
症例紹介
混合歯列期後期からの上顎劣成長による叢生症例
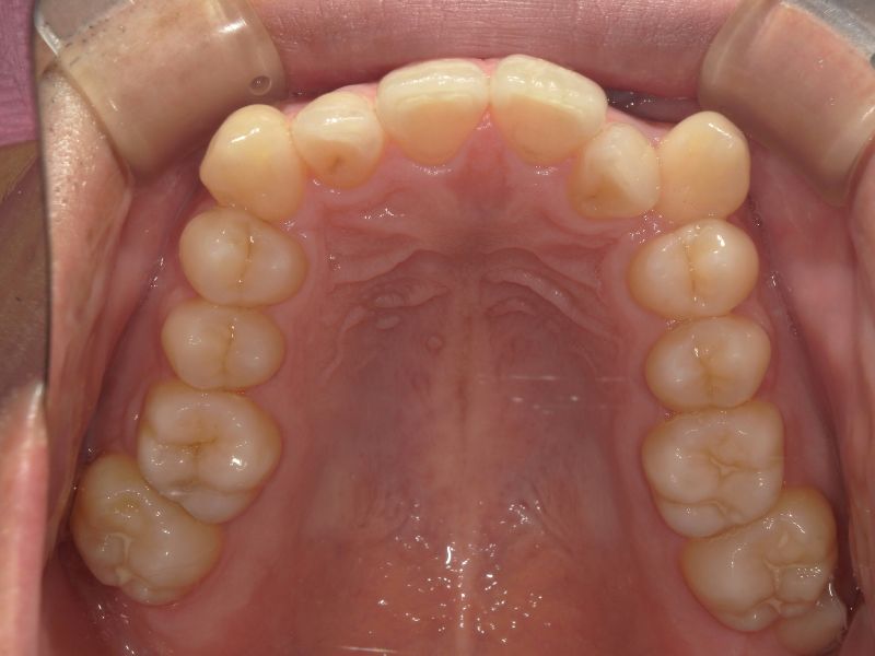
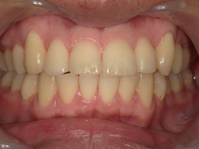
上顎
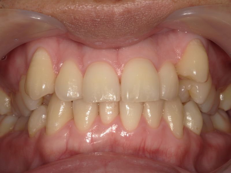
正面
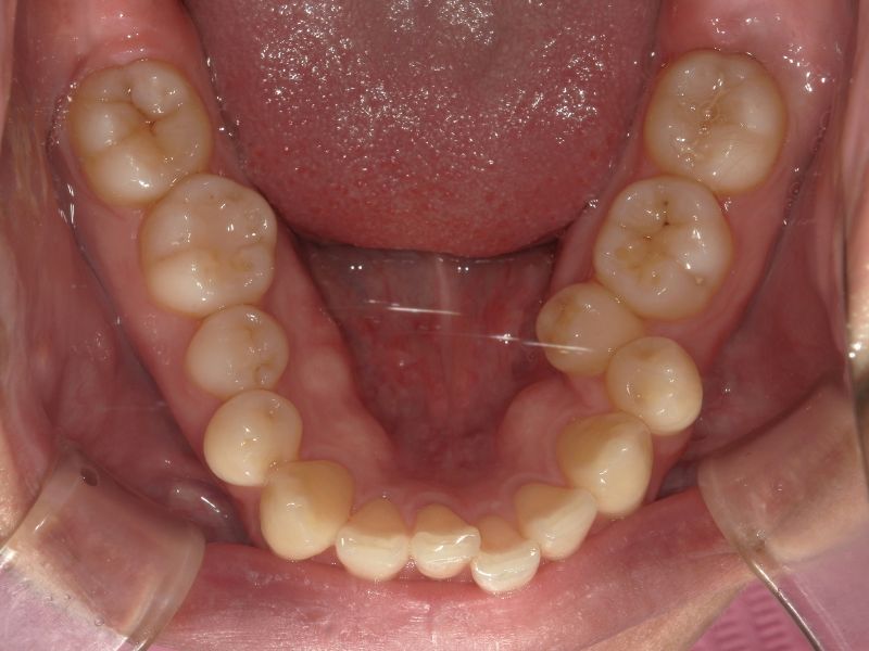
下顎
治療名称
混合歯列期後期からの上顎劣成長による叢生
年齢・性別
11才7カ月 男性
主訴
前歯がガタガタしてきた
期間
3年6ヶ月
治療内容
上顎 Hyrax 下顎 LAで拡大後フルブラケットでワイヤー矯正治療を行う。MFTも併行に行う
リスク・副作用
中学生という思春期に装置を入れる為、 口腔清掃がきちんとできるか? 受験期にさしかかった時に通院出来るか?実際は、虫歯を一本も作らず歯肉炎にもならず終了しました。