骨格性開咬+反対咬合|久喜市の歯医者「田沼歯科医院」
ホーム
スタッフ紹介
医院紹介
診療案内
虫歯治療
予防歯科
歯周病
小児歯科
矯正歯科
小児矯正
ホワイトニング
入れ歯
インプラント
審美歯科
アクセス
料金表
症例紹介
採用情報
ホーム
スタッフ紹介
医院紹介
診療案内
虫歯治療
予防歯科
歯周病
小児歯科
矯正歯科
小児矯正
ホワイトニング
入れ歯
インプラント
審美歯科
アクセス
料金表
症例紹介
採用情報
ホーム
スタッフ紹介
医院紹介
診療案内
虫歯治療
予防歯科
歯周病
小児歯科
矯正歯科
小児矯正
ホワイトニング
入れ歯
インプラント
審美歯科
アクセス
料金表
症例紹介
採用情報
ホーム
スタッフ紹介
医院紹介
診療案内
虫歯治療
予防歯科
歯周病
小児歯科
矯正歯科
小児矯正
ホワイトニング
入れ歯
インプラント
審美歯科
アクセス
料金表
症例紹介
採用情報
骨格性開咬+反対咬合
ホーム
症例紹介
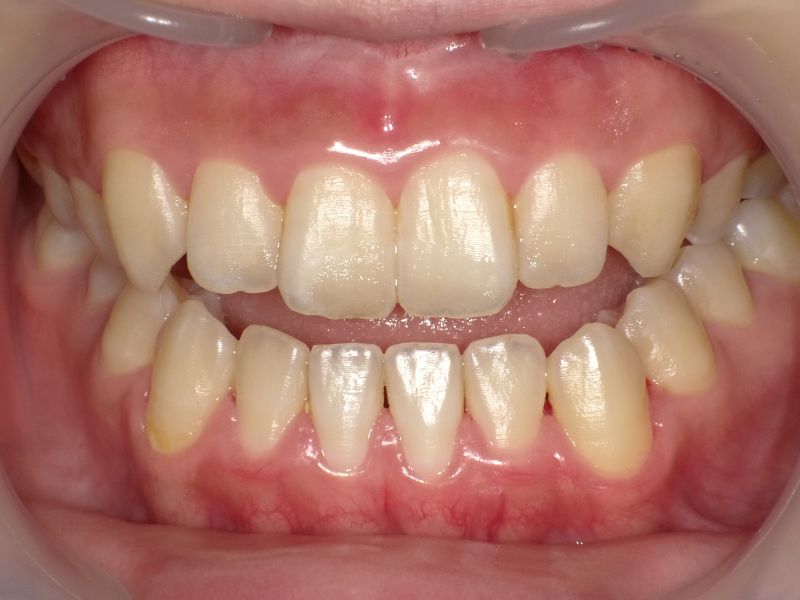
骨格性開咬+反対咬合
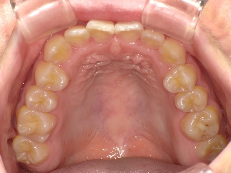
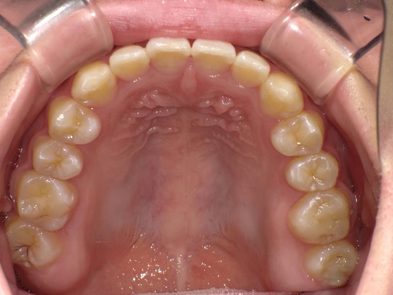
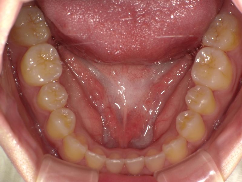
上顎
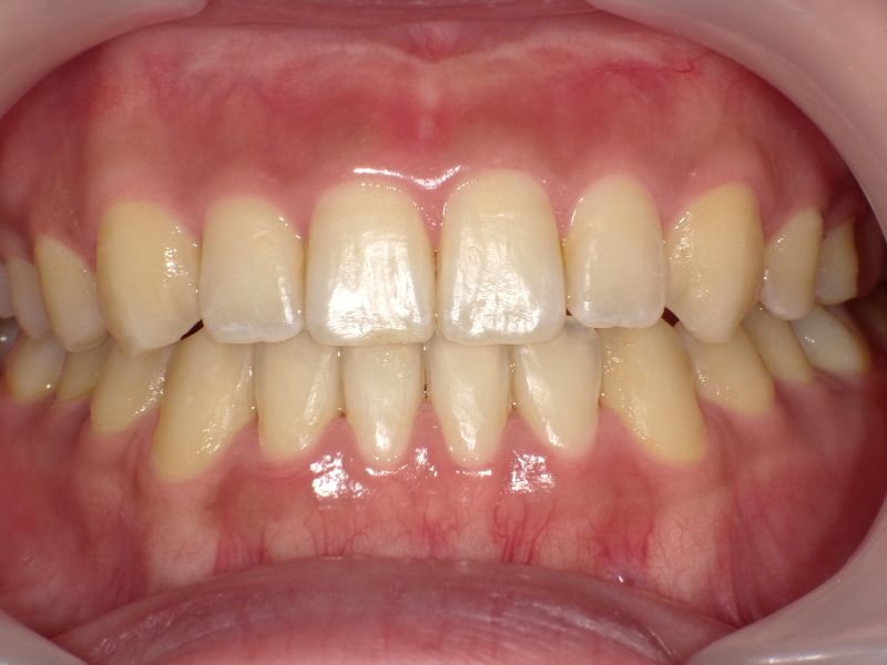
正面
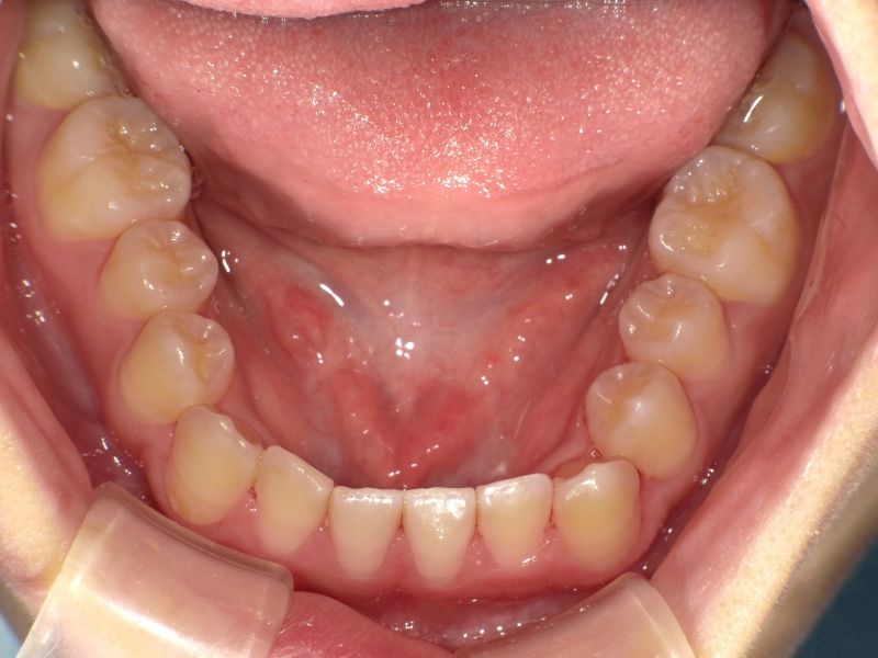
下顎
治療名称
骨格性開咬+反対咬合
年齢・性別
16才11ヶ月 女性
主訴
・前歯で食物が咬めない
・顎が少し長い
・奥歯で噛みしめることが出来ない
期間
3年4ヶ月
治療内容
・上顎 Hyrax 下顎 LA で拡大
・フルブラケットでワイヤー矯正
・ClassⅢ ゴム使用 MFT併用
リスク・副作用
・大学受験にかかる為、装置がしっかり使えるか
・ブラッシングケアが出来るか
・舌癖が治るか
・通院が継続出来るか