上下顎共劣成長による叢生|久喜市の歯医者「田沼歯科医院」
ホーム
スタッフ紹介
医院紹介
診療案内
虫歯治療
予防歯科
歯周病
小児歯科
矯正歯科
小児矯正
ホワイトニング
入れ歯
インプラント
審美歯科
アクセス
料金表
症例紹介
採用情報
ホーム
スタッフ紹介
医院紹介
診療案内
虫歯治療
予防歯科
歯周病
小児歯科
矯正歯科
小児矯正
ホワイトニング
入れ歯
インプラント
審美歯科
アクセス
料金表
症例紹介
採用情報
ホーム
スタッフ紹介
医院紹介
診療案内
虫歯治療
予防歯科
歯周病
小児歯科
矯正歯科
小児矯正
ホワイトニング
入れ歯
インプラント
審美歯科
アクセス
料金表
症例紹介
採用情報
ホーム
スタッフ紹介
医院紹介
診療案内
虫歯治療
予防歯科
歯周病
小児歯科
矯正歯科
小児矯正
ホワイトニング
入れ歯
インプラント
審美歯科
アクセス
料金表
症例紹介
採用情報
上下顎共劣成長による叢生
ホーム
症例紹介
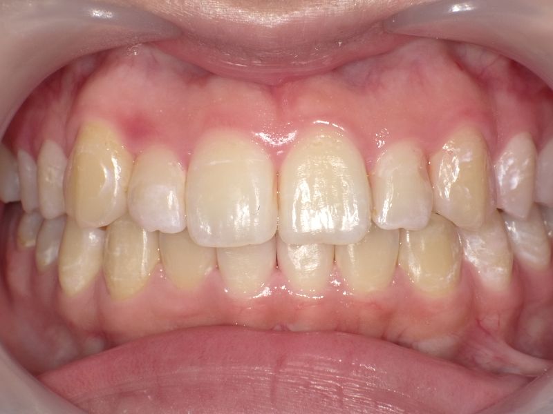
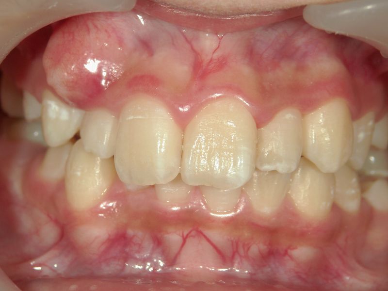
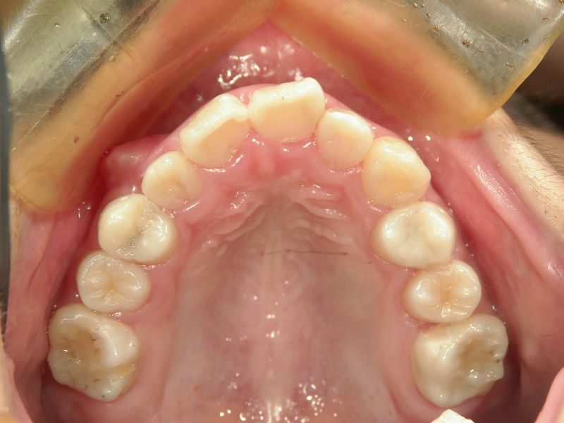
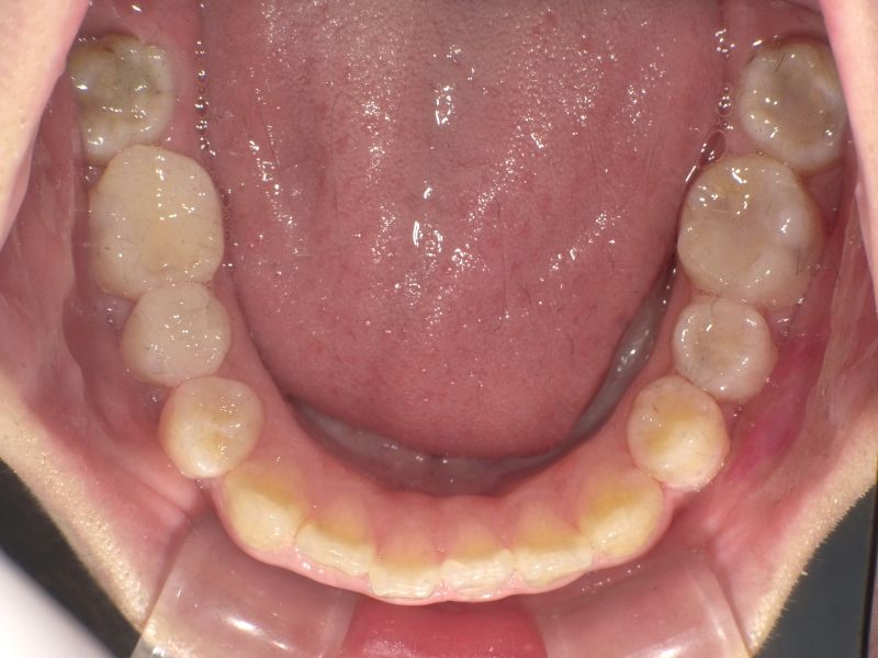
上下顎共劣成長による叢生
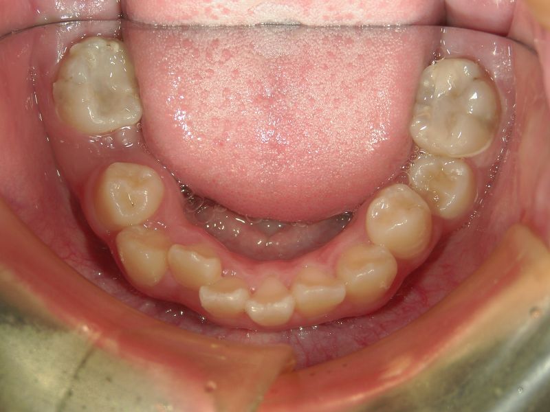
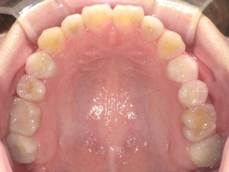
上顎
正面
下顎
真顔
笑顔
←
→
治療名称
上下顎共劣成長による叢生
年齢・性別
11才5ヶ月 女性
主訴
右上の犬歯がはえてこない
期間
4年5ヶ月
治療内容
上顎ハイラックス×2 下顎LAで拡大後 フルブラケットで治療 MFTも併用する
リスク・副作用
ハイラックスを2個連続に使用する事が出来るのか? ブラケット周囲の口腔清掃がきちんと出来るのか?