Ⅰ級叢生|久喜市の歯医者「田沼歯科医院」
ホーム
スタッフ紹介
医院紹介
診療案内
虫歯治療
予防歯科
歯周病
小児歯科
矯正歯科
小児矯正
ホワイトニング
入れ歯
インプラント
審美歯科
アクセス
料金表
症例紹介
採用情報
ホーム
スタッフ紹介
医院紹介
診療案内
虫歯治療
予防歯科
歯周病
小児歯科
矯正歯科
小児矯正
ホワイトニング
入れ歯
インプラント
審美歯科
アクセス
料金表
症例紹介
採用情報
ホーム
スタッフ紹介
医院紹介
診療案内
虫歯治療
予防歯科
歯周病
小児歯科
矯正歯科
小児矯正
ホワイトニング
入れ歯
インプラント
審美歯科
アクセス
料金表
症例紹介
採用情報
ホーム
スタッフ紹介
医院紹介
診療案内
虫歯治療
予防歯科
歯周病
小児歯科
矯正歯科
小児矯正
ホワイトニング
入れ歯
インプラント
審美歯科
アクセス
料金表
症例紹介
採用情報
Ⅰ級叢生
ホーム
症例紹介
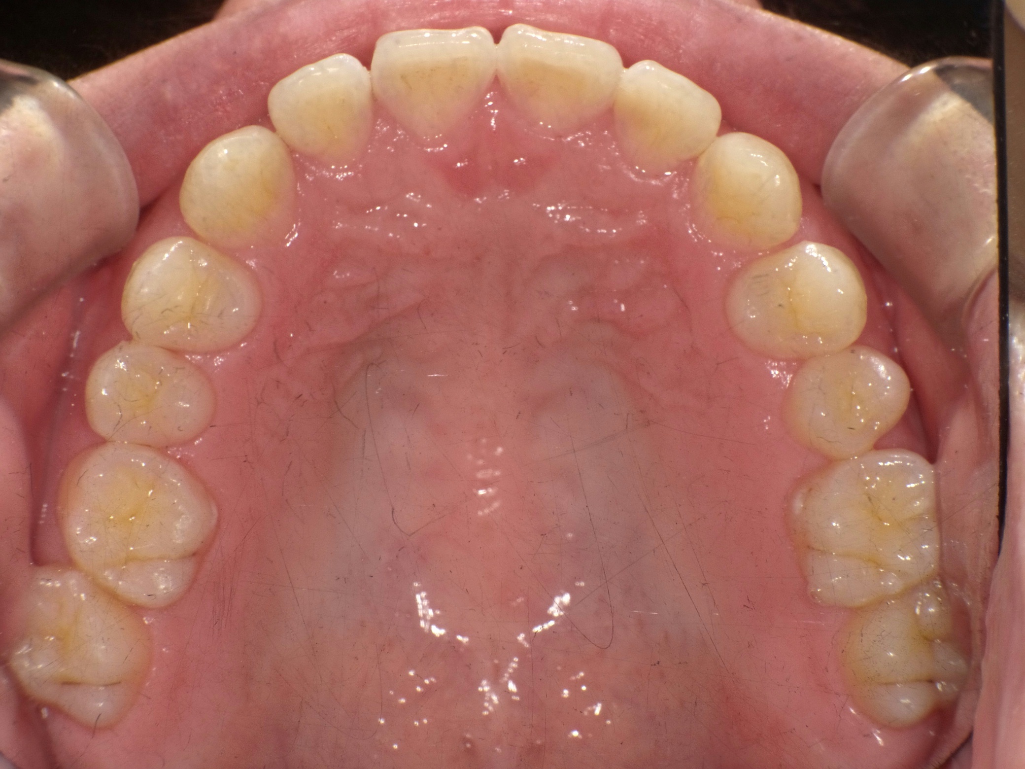
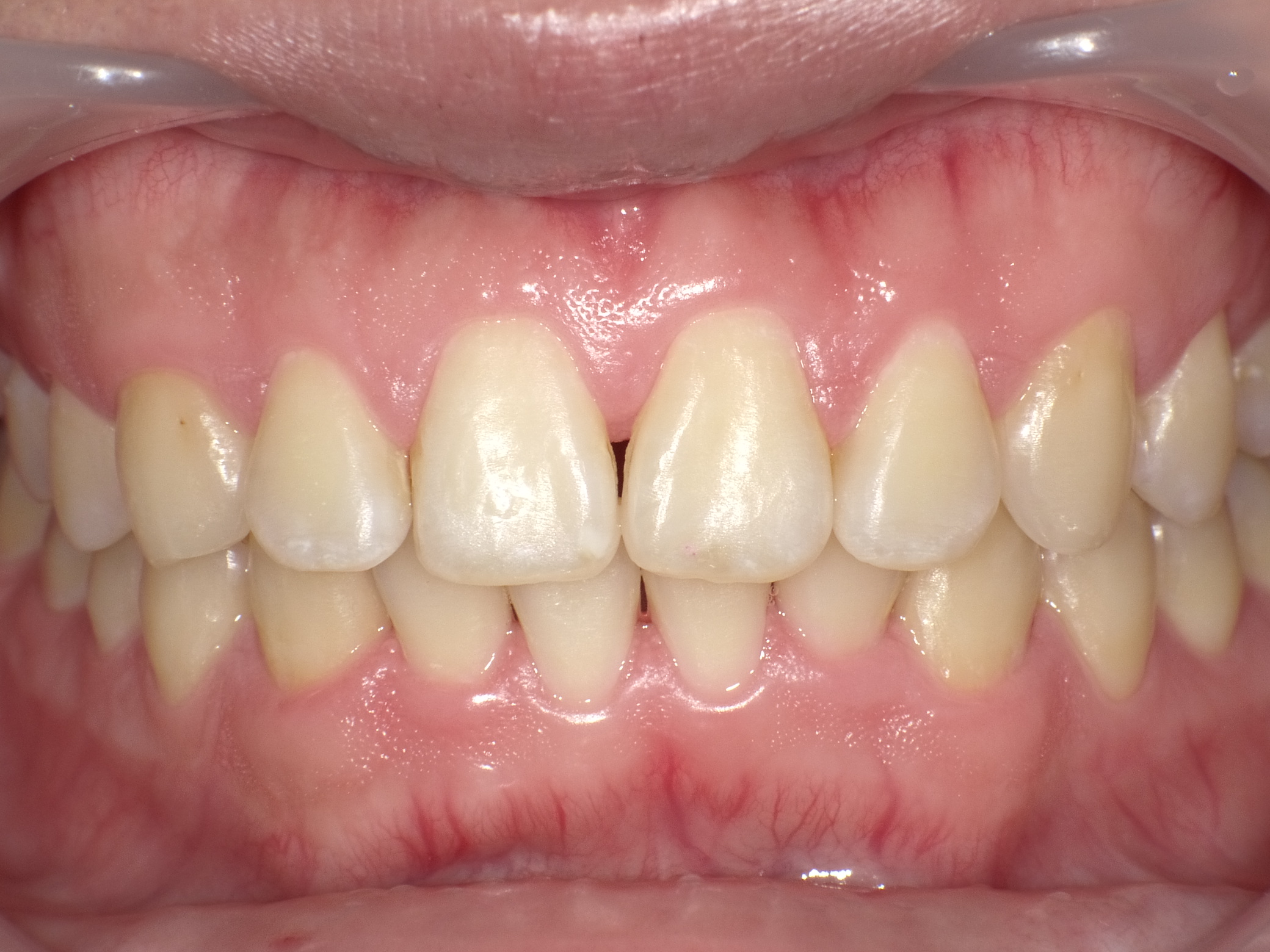
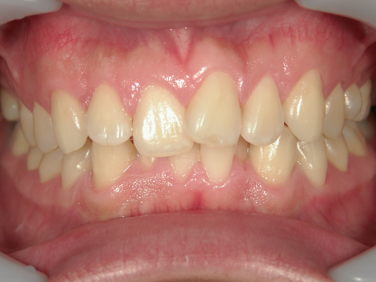
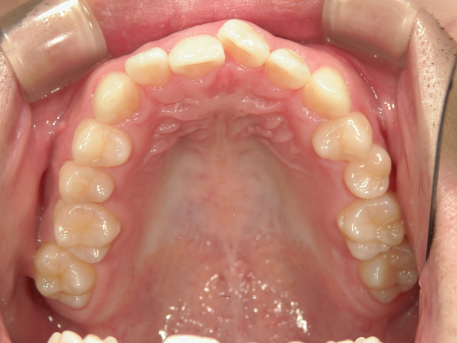
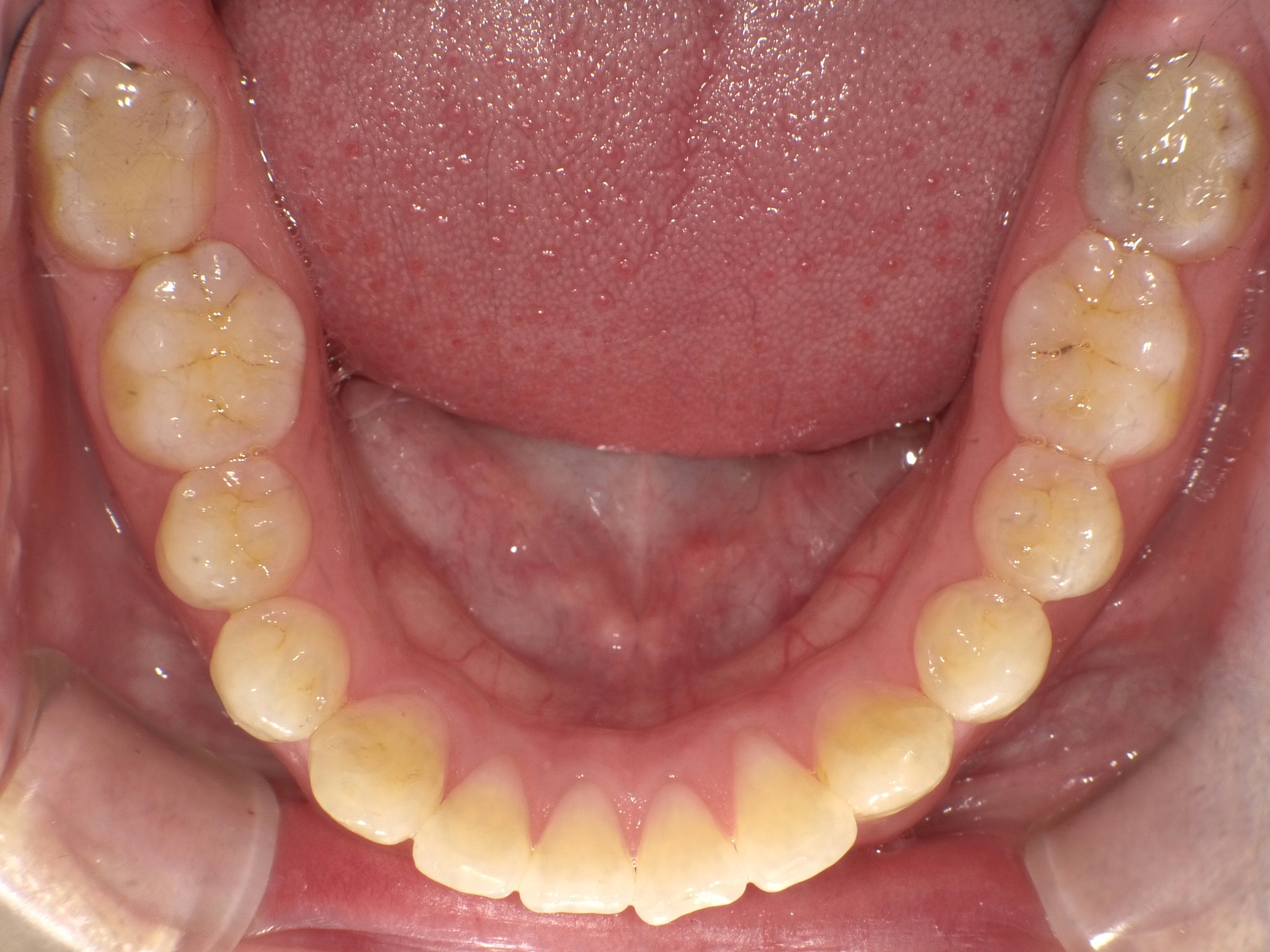
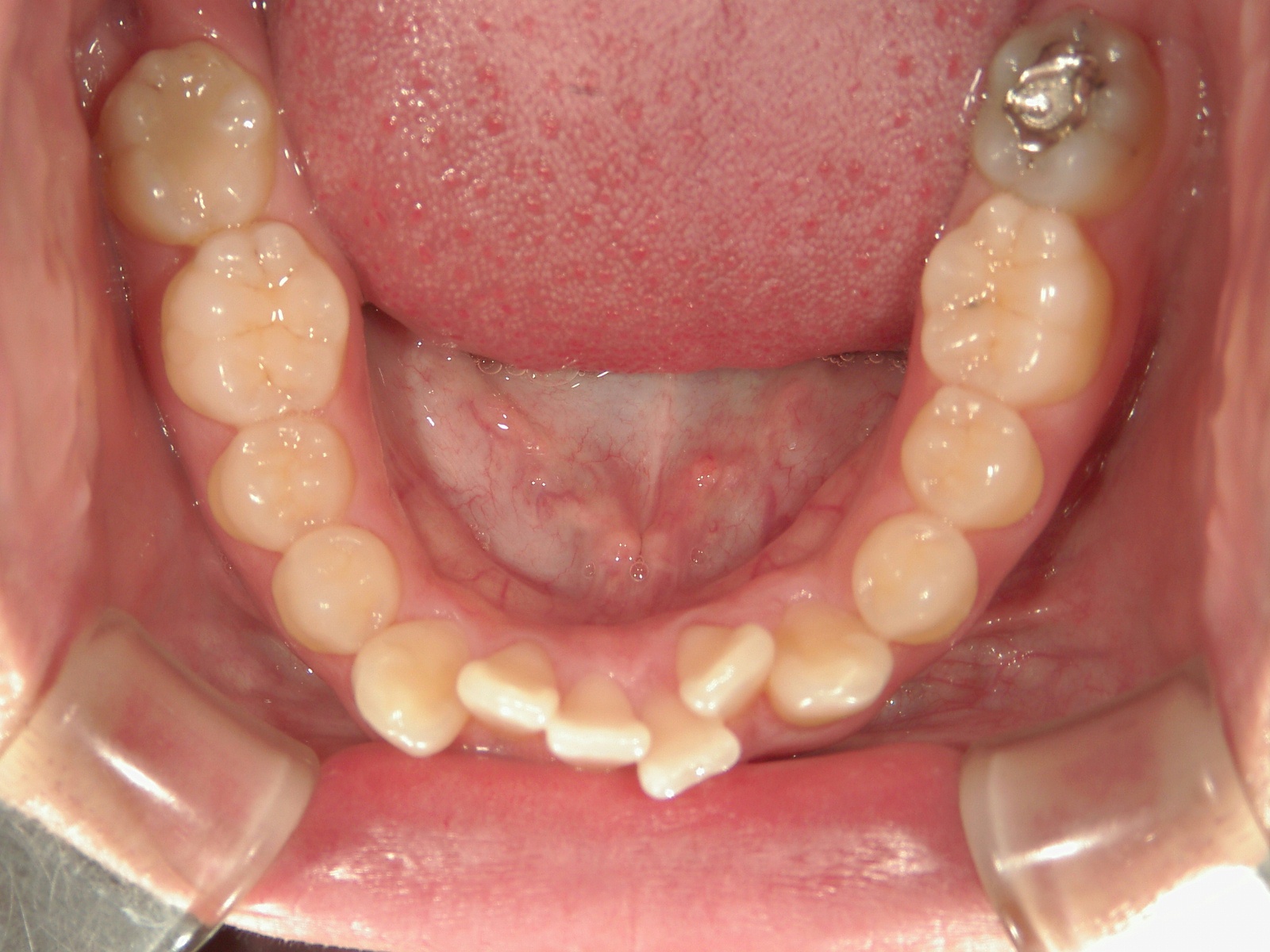
Ⅰ級叢生
上顎
正面
下顎
真顔
笑顔
←
→
治療名称
叢生
年齢・性別
20才 男性
主訴
上下前歯のガタつきを治したい
期間
3年8ヶ月
治療内容
上顎 Hyrax 下顎 LAで拡大後フルブラケットでワイヤー矯正治療 MFTも併用
リスク・副作用
ブラケット周囲のカリエスリスクをケア出来るのか