顎と歯の不調和による成人の叢生症例|久喜市の歯医者「田沼歯科医院」
ホーム
スタッフ紹介
医院紹介
診療案内
虫歯治療
予防歯科
歯周病
小児歯科
矯正歯科
小児矯正
ホワイトニング
入れ歯
インプラント
審美歯科
アクセス
料金表
症例紹介
採用情報
ホーム
スタッフ紹介
医院紹介
診療案内
虫歯治療
予防歯科
歯周病
小児歯科
矯正歯科
小児矯正
ホワイトニング
入れ歯
インプラント
審美歯科
アクセス
料金表
症例紹介
採用情報
ホーム
スタッフ紹介
医院紹介
診療案内
虫歯治療
予防歯科
歯周病
小児歯科
矯正歯科
小児矯正
ホワイトニング
入れ歯
インプラント
審美歯科
アクセス
料金表
症例紹介
採用情報
ホーム
スタッフ紹介
医院紹介
診療案内
虫歯治療
予防歯科
歯周病
小児歯科
矯正歯科
小児矯正
ホワイトニング
入れ歯
インプラント
審美歯科
アクセス
料金表
症例紹介
採用情報
顎と歯の不調和による成人の叢生症例
ホーム
症例紹介
顎と歯の不調和による成人の叢生症例
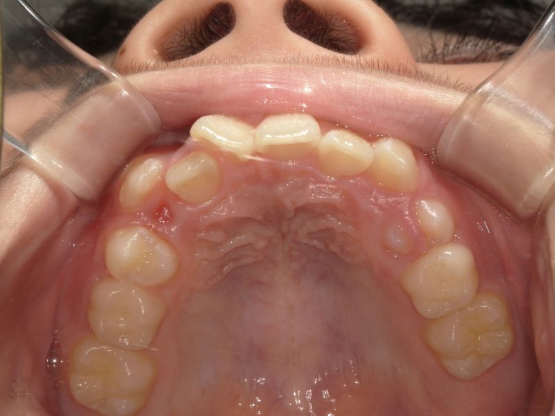
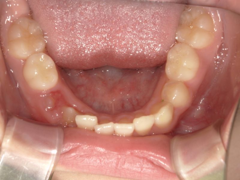
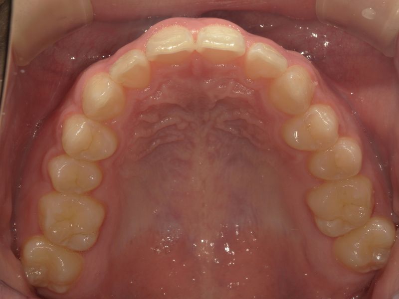
上顎
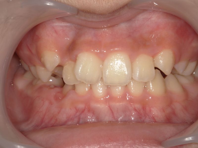
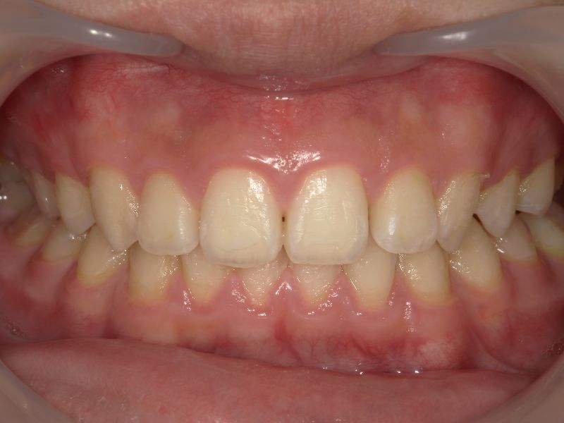
正面
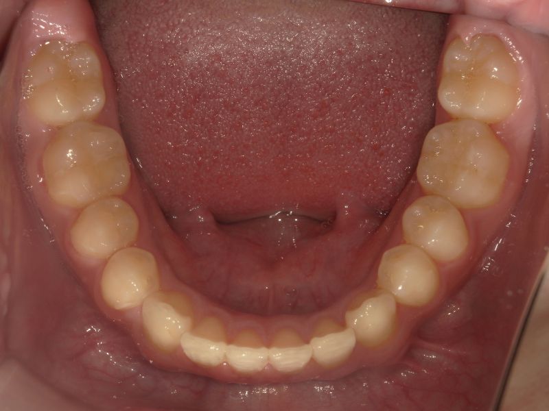
下顎
治療名称
顎と歯の不調和による成人の叢生症例
年齢・性別
27才 男性
主訴
犬歯が飛び出していて口が閉じにくい
期間
2年6ヶ月
治療内容
上顎 Hyrax 下顎 LAで拡大後フルブラケットでワイヤー矯正を行う。MFTも併行して行う。
リスク・副作用
口腔清掃が毎日きちんと出来るのか?